
Alla scoperta dell’intestino: l’area dell’assorbimento
Dopo la digestione del duodeno, quel che resta del cibo è pronto ad essere assorbito in un lungo e tormentato percorso pieno di circonvoluzioni. Le ultime sezioni dell’intestino tenue, il digiuno e l’ileo, si occupano infatti dell’assunzione dei nutrienti.
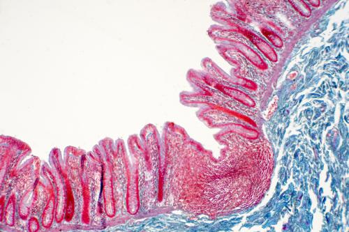
Il lungo viaggio del cibo in questo percorso tortuoso – in ognuno di noi questa parte dell’intestino è pari a circa 6 metri e mezzo - è reso possibile grazie alle contrazioni e dai rilassamenti delle pareti intestinali: quei movimenti incontrollabili del tubo intestinale chiamati peristalsi. L’assimilazione delle sostanze digerite avviene lungo tutto il tratto, soprattutto nella sezione chiamata digiuno le cui pareti sono tappezzate dallo straordinario sistema dei villi intestinali, strutture a forma di microscopiche dita.
I villi compaiono già nel duodeno e proseguono, seppur in minor numero nella sezione successiva, l’ileo, e sono composti da cellule chiamate enterociti. Funzionano come tante pompe aspiranti e il loro numero è davvero impressionante – si stima che ve ne siano 3mila per centimetro quadrato, per un totale di 40 milioni – e, oltre a ciò, ogni villo supporta un grande numero di microvilli.
C’è chi ha calcolato quanto sarebbe ampia la superficie composta da tutti i villi e i microvilli presenti nell’intestino tenue, se fossero distesi su un piano: ne risulterebbe un’area di 300 metri quadri, grande quanto un campo da tennis, una incredibile superficie assorbente, deputata a prelevare i nutrienti dall’intestino per trasferirli nel flusso sanguigno e sostenere così il nostro corpo.
La lunga regione dell’assorbimento termina nell’area della valvola ileocecale, fatta in maniera da impedire il reflusso verso l’alto dei residui alimentari. Da qui in poi inizia l’ultima regione dell’intestino: l’intestino crasso. Lungo solo due metri è un’area cruciale perché qui viene riassorbita l’acqua, si formano le feci ed è ospitata la più importante comunità microbica del nostro organismo, la cosiddetta flora intestinale.